Крейг Б. Вебб
PhD, DVM, дипл. ACVIM, отделение клинической медицины Университета штата Колорадо, Колорадо, США
В настоящее время Крейг Вебб – профессор ветеринарной медицины мелких животных и временно исполняющий обязанности директора ветеринарной клиники при Университете штата Колорадо. Получив диплом в Университете штата Висконсин (Мэдисон), он прошел стажировку в ветеринарной клинике Alameda East и резидентуру по ветеринарии мелких животных в Университете штата Колорадо, после чего получил степень PhD по неврологии в Университете Ханемана, Филадельфия. Область его научных интересов – гастроэнтерология и эндокринология. В 2013 году он был удостоен награды Zoetis «Заслуженный преподаватель ветеринарной медицины», а в 2014-м признан выдающимся преподавателем Ассоциации ветеринарной медицины штата Колорадо.
Для практикующего ветеринарного врача желтуха у кошки – не диагноз, а отправная точка для поиска ее возможных причин. Профессор Крейг Вебб рассказывает о своем подходе к таким пациентам.
Ключевые моменты
- Кошки попадают на прием к врачу не «с подозрением на холангит», а просто потому что «заболели».
- Холангит у кошек не сопровождается какими-либо специфичными симптомами, клинические проявления могут указывать на любое другое заболевание.
- Желтуха (иктеричность, желтая окраска кожи и слизистых оболочек) – это симптом, а не диагноз.
- Изучение холангита у кошек способствовало открытию триадита.
Введение – история вопроса
Еще в 1996 году ветеринарный врач Шэрон Сентер подробно описала особенности гепатобилиарной системы кошек и подчеркнула различия между кошками и собаками, отметив, что «холангит и холангиогепатит встречаются у кошек чаще, чем у собак. Уже на протяжении долгого времени считается, что это может быть связано с различиями в анатомии желчного и панкреатического протоков у этих видов» (1). Доктор Сентер собрала, проанализировала и процитировала данные исследований гнойного холангита и хронического лимфоцитарного холангита у кошек начиная с 1980-х годов (2, 3), а также включила в свою работу описания 47 случаев желтухи у кошек, самые ранние из которых датируются 1977 годом (4).
Она фактически предвосхитила открытие триадита кошек, отметив, что, «хотя течение воспалительного заболевания кишечника и панкреатита не во всех описанных случаях оценивали достаточно тщательно, по-видимому, они часто сопровождаются этим заболеванием [холангитом]».
В 1996 году также было опубликовано первое исследование с количественным определением связи воспалительного заболевания печени, воспалительных заболеваний кишечника (ВЗК), панкреатита и нефрита у кошек (последнее заболевание затем исключили из рассмотрения, и осталось определение «триадит») (5). Это ознаменовало начало серьезной и плодотворной работы, направленной на более глубокое понимание «болезни печени кошек», которую тогда называли также «комплексом холангиогепатита кошек» или «холангитом/холангиогепатитом кошек» (6).
В клинических исследованиях была предпринята попытка охарактеризовать воспалительные и лимфоцитарные заболевания печени у кошек с помощью ультразвуковых и иммуногистохимических методов, а также клинических проявлений (7-9). Были описаны потенциальные инфекционные этиологические факторы: Bartonella, Enterococcus, Helicobacter, а в литературе появилось первое сообщение о возбудителе из желудочно-кишечного тракта, вызвавшем холангит у котенка (10-13).
Десятью годами позже Группа по стандартизации заболеваний печени Всемирной ассоциации ветеринарии мелких животных попыталась классифицировать определяющие свойства заболевания желчных путей у кошек и собрать терминологический словарь для ветеринарных специалистов (14). Далее в статье мы сфокусируемся на данных, которые были получены после этого. Но важно понимать, что, хотя наши современные знания об этом заболевании существенно углубились благодаря появлению новых технологий и методов диагностики, фундамент этих достижений и основные направления были заложены при помощи авторов, о которых мы говорили в этой главе (1), включая и доктора Сентер.
Подход
Вначале к нам на прием попадает заболевшая кошка. Владелец обращается к ветеринарному врачу, потому что у кошки рвота, или диарея, или ухудшение аппетита (или она вообще отказывается от корма), снижение веса, кошка прячется или, наоборот, становится «прилипчивой», у нее снизилась активность, она вокализирует и испытывает заметную боль, у нее избыточное слюноотделение или просто «больной вид». Степень выраженности и такое разнообразие клинических проявлений холангита у кошек определяются тем, что I) это кошки и II) кошки часто страдают несколькими заболеваниями одновременно. Типичным примером может служить триадит, однако одновременно с холангитом у кошек могут протекать еще около десятка заболеваний: ВЗК, панкреатит, хроническая бактериальная инфекция (инфекции), включая пиелонефрит, поражение трематодами, токсоплазмоз, септицемия, желчнокаменная болезнь, внепеченочная окклюзия желчных протоков и новообразования (1). Хотя после сбора анамнеза и непосредственного обследования до установления диагноза еще предстоит долгий путь, на начальном этапе уже можно получить следующую потенциально полезную информацию, в том числе:
- пол и возраст;
- проживает ли кошка в Северной Америке, Европе или другом регионе;
- проживает ли кошка в районе, эндемичном по печеночным гельминтам (эту причину холангита у кошек мы здесь не рассматриваем);
- сколько времени кошка болеет (несколько дней, несколько недель);
- похудела ли кошка;
- развивались ли у кошки рвота, диарея, тошнота, вялость, анорексия;
- можно ли считать клинические проявления сочетанными, постоянными, прогрессирующими или перемежающимися;
- есть ли у кошки желтуха;
- есть ли у кошки повышенная температура или обезвоживание;
- выявляются ли при пальпации брюшной полости дискомфорт (и если да, то где), органомегалия (и если да, то какого органа), свободная жидкость.
Предостережения
-
Если при осмотре глаз (или, точнее, склеры) кошки во время обследования вы заметили желтушность, не торопитесь радоваться, что установили диагноз «с первого взгляда», потому что причиной может быть и не заболевание печени. Желтуха у кошек развивается при уровне общего билирубина ≥2,5-3,0 мг/дл, и, скорее всего, такое повышение действительно будет обусловлено первичным заболеванием печени. Однако более разумно в первую очередь исключить гемолитическую (надпеченочную) желтуху (Таблица 1).
-
Если при осмотре глаз кошки во время обследования вы увидели, что желтушности нет, не торопитесь сообщать владельцу, что общий билирубин у нее, скорее всего, в норме и заболевание печени исключено, поскольку у кошек уровень общего билирубина нередко бывает повышенным в недостаточной для развития видимой желтухи степени. При уровне общего билирубина ≤2,5-3,0 мг/дл, но выше нормального референтного диапазона диагностируют гипербилирубинемию. Чаще всего она бывает вызвана не гемолитической желтухой и не первичным заболеванием печени (например, реактивным поражением печени), но опять же разумнее вначале провести дифференциальную диагностику с другими заболеваниями, вызывающими вторичное поражение печени. Дифференциальный диагноз при этом чрезвычайно широкий.
-
Хотя подпеченочные причины гипербилирубинемии (внепеченочная окклюзия желчных протоков) у кошек встречаются редко, они все же существуют, и следует принимать их во внимание (Таблица 2).
Печеночные причины гипербилирубинемии у кошек
Рассмотрев и надлежащим образом исключив над- и подпеченочные причины гипербилирубинемии у кошки с желтухой или остановившись на том, что наиболее вероятной причиной плохого самочувствия кошки является заболевание печени, можно начинать диагностическое обследование.
Терминология
Хотя липидоз печени является одной из наиболее частых причин желтухи у кошек (Рисунок 1), здесь мы его рассматривать не будем, как и реактивные гепатопатии, новообразования и нарушения со стороны сосудов. Хронический холангит, вызванный печеночными трематодами (Platynosomum concinnum, она же P. fastosum) (15), – воспалительное заболевание печени, которое также не будет рассматриваться в этой статье. Основное внимание мы уделим двум наиболее распространенным, по данным WSAVA, воспалительным заболеваниям печени (16), а именно нейтрофильному холангиту (острому или хроническому) и лимфоцитарному холангиту. Мы рассмотрим клинические случаи, определим ключевые проявления этих заболеваний и подчеркнем важность систематического подхода в их диагностике.
Клинический случай №1
Пациент – одиннадцатилетний кастрированный кот породы норвежская лесная; в анамнезе прогрессирующая рвота и диарея на протяжении трех месяцев. Аппетит слегка снижен, животное похудело. Владелец отметил желтоватый оттенок ушной раковины (Рисунок 2); в остальном цвет покровов у кота нормальный, поведение активное. При осмотре выявлены желтуха и гепатомегалия; других отклонений не выявлено.
Ключевые признаки
Прежде всего, обратим внимание на то, что пациента, кота породы норвежская лесная с желтухой, наблюдали в клинике в Европе; это уже подсказка! По данным недавнего эпидемиологического исследования, наиболее часто встречающимися заболеваниями печени у кошек в Великобритании, согласно гистопатологическому исследованию, оказываются нейтрофильный холангит (20,5% случаев) и лимфоцитарный холангит (6,8%) (17). В другом недавнем исследовании, проведенном в Нидерландах, 2 из 14 кошек с лимфоцитарным холангитом, у которых исследовали иммуногистохимические маркеры заболевания, были норвежскими лесными (18), а большинство клинических исследований лимфоцитарного холангита проводилось в Европе (8,19). С другой стороны, при проведении аутопсии кошек в ветеринарной клинике Университета Пенсильвании лимфоцитарный холангит был выявлен в трех из 44 случаев (20).
Пациент – пожилой кот; и, хотя существуют обобщенные данные по среднему возрасту возникновения заболевания, понятно, что все формы воспалительных заболеваний печени у кошек могут развиваться в очень широком спектре возрастных групп. Стоит отметить, что, хотя заболевание хроническое и прогрессирующее, у кота еще не развились ни вялость, ни анорексия, ни повышение температуры тела. Такая начальная клиническая картина должна повысить индекс подозрения на лимфоцитарный холангит. Хронический характер и особенности течения заболевания не являются патогномоничными, так как при лимфоцитарном холангите состояние кошек может быть в том числе и достаточно тяжелым, с развитием асцита и истощения; но для острого нейтрофильного холангита такое удовлетворительное состояние, как у этого кота, нетипично.
Диагноз
Продолжаем диагностическое обследование. В развернутом общем клиническом анализе крови (ОАК) выраженных отклонений, как правило, нет, хотя у некоторых кошек присутствует выраженный лимфоцитоз и легкая анемия, типичная для хронических заболеваний. Уровень печеночных ферментов и общего билирубина повышен от легкой до умеренной степени. Когда содержание билирубина возрастает до уровня, при котором развивается желтуха, тест на желчные кислоты можно не проводить – они в любом случае будут отклоняться от нормы. Результат тестирования на FeLV/FIV (Вирусная лейкемия кошек/Вирус иммунодефицита кошек) будет отрицательным, время свертывания крови может быть несколько увеличено, но наиболее ярко выраженным из биохимических нарушений, скорее всего, станет гиперглобулинемия (с преобладанием гамма-глобулинов, если вы проведете электрофорез белков). Если в брюшной полости накапливается свободная жидкость, в ней будет повышено содержание белков (тоже глобулинов) и будут присутствовать различные воспалительные клетки.
В этом случае для диагностики целесообразно провести ультразвуковое исследование органов брюшной полости, причем важно не столько то, что оно покажет (неспецифические изменения печени и лимфаденопатия), сколько то, чего оно не покажет. В нашем примере в желчном пузыре и желчных путях патологии, скорее всего, выявлено не будет.
Как мы обсудим в следующем примере, тонкоигольная аспирационная биопсия печени – процедура с низким уровнем риска, но следует предупредить владельцев, что ее диагностическая значимость также часто оказывается низкой и она чаще приносит разочарование, чем важные результаты.
Если содержимое желчного пузыря и в частности его стенка выглядят нормально, эффективность аспирации содержимого желчного пузыря, по данным исследований, также обычно низкая (см. следующий пример).
Самый убедительный аргумент для проведения биопсии печени: это лучший метод для постановки окончательного диагноза. В рассматриваемом клиническом случае важнее всего исключить из списка потенциальных диагнозов лимфому; у кошек соответствующего возраста также важно исключить FIP (инфекционный перитонит кошек) с асцитом с высоким содержанием белков и гиперглобулинемией. Другим убедительным аргументом в пользу проведения биопсии печени является возможность получить также биоптаты поджелудочной железы и кишечника. Выявление и лечение сопутствующих заболеваний критически важно для успешной терапии любых форм холангита у кошек.
«
«Хотя подпеченочные причины гипербилирубинемии (внепеченочная окклюзия желчных протоков) у кошек встречаются редко, они все же существуют, и следует принимать их во внимание во всех случаях желтухи у кошек».
Лечение
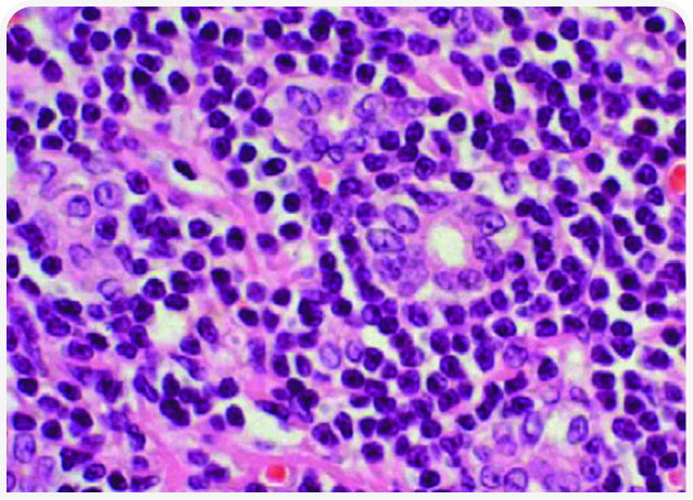
После постановки окончательного (см. гистопатологическую картину на Рисунке 3) или предположительного (как в клиническом случае) диагноза «лимфоцитарный холангит» лечение будет включать неспецифическую поддерживающую терапию и иммунную терапию. К неспецифической терапии относятся инъекции нескольких доз витамина K1 (5 мг на кошку подкожно каждые 24 часа) для нормализации показателей свертывания крови перед проведением тонкоигольной аспирационной биопсии или установкой эзофагального зонда и урсодезоксихолевая кислота (10-15 мг/кг внутрь каждые 24 часа в течение 2-3 месяцев). Этот препарат традиционно используют для стимуляции выведения желчи из билиарной системы; он обладает также рядом дополнительных положительных свойств для пораженной ткани печени (21).
При иммуноопосредованной инфильтрации лимфоцитами назначение антибиотиков не требуется. Даже если изначальной причиной заболевания была бактериальная инфекция, на момент обследования она уже разрешилась. Тем не менее некоторые врачи рекомендуют 2-4-недельный курс антибиотикотерапии в начале лечения для нейтрализации кишечных и/или анаэробных бактерий (см. Клинический случай 2), которые могут являться не причиной, а следствием иммуноопосредованного заболевания (19).
В качестве раннего и эффективного вмешательства у всех кошек, отказывающихся от корма, рекомендуется кормление через эзофагеальный зонд (Рисунок 4). Установка зонда также помогает владельцу ухаживать за кошкой на дому. В Университете Колорадо используют троакар и эзофагеальный зонд калибра 14Fr или производства MILA International, Inc.1
Специфическое лечение лимфоцитарного холангита заключается в назначении глюкокортикоидов, препаратом выбора считают преднизолон. Некоторые врачи начинают с дозы 4 мг/кг/день, большинство – с дозы ближе к 2 мг/кг/день, но во всех случаях дозу медленно снижают в течение 3 месяцев.
Ответ на терапию можно оценивать по ряду показателей, например по клиническим проявлениям, цвету слизистой, изменениям уровня печеночных ферментов и общего билирубина.
Клинический случай №2
Пациент – кастрированный домашний длинношерстный кот, 6 лет, наблюдавшийся в США.
В анамнезе – рвота, анорексия и вялость в течение четырех дней. При осмотре выявлены желтуха, лихорадка, обезвоживание (Рисунок 5); при пальпации живота отмечаются дискомфорт и иногда – тошнота и слюноотделение.
В биохимическом профиле – гипербилирубинемия, гиперглобулинемия, повышенная от умеренной до значительной степени активность АЛТ, непостоянное повышение уровня ЩФ, а также неспецифичные изменения, связанные с обезвоживанием (азотемия), стрессом или острым панкреатитом (гипергликемия), нарушения электролитного баланса. Помимо легкой анемии в ОАК также выявляются значимые изменения, не обнаруженные в случае 1: лимфопения, лейкоцитоз, нейтрофилез со сдвигом влево.
Ключевые признаки
В отличие от предыдущего случая с котом породы норвежская лесная, в США не распространены экзотические породы, специфические особенности которых связаны с их географическим происхождением, а с точки зрения возраста оба кота просто взрослые, хотя второй кот моложе, чем кот из случая 1. (За пределами США мы бы могли говорить о таких породах, как бурманская, персидская, сиамская, британская короткошерстная). Клинические признаки довольно похожи со случаем 1, основное отличие – быстрое и относительно более тяжелое развитие заболевания. Различие в степени тяжести подчеркивается наличием лихорадки и воспалительной лейкограммы, а также бóльшим количеством отклонений в биохимическом профиле. Такая начальная клиническая картина повышает индекс подозрения на нейтрофильный холангит. Дискомфорт при пальпации брюшной полости может указывать на острое воспаление, инфицирование и увеличение печени, а также на панкреатит; опять же, это подчеркивает общность и важность выявления сопутствующих заболеваний (в том числе панкреатита, ВЗК, внепеченочной окклюзии желчных протоков, холецистита, желчнокаменной болезни и т.д.). Вполне вероятно, у этого кота может быть некоторая степень коагулопатии, требующая назначения витамина K1; и опять-таки на момент появления желтухи гипербилирубинемия будет настолько высокой, что тест на желчные кислоты обязательно покажет отклонения и делать его излишне. Целесообразно сделать анализ сыворотки, полученной натощак, на уровни панкреатической липазы кошек и кобаламина.
«
«Кошки редко последовательны в своем безумии, но последовательный подход к лечению кошек спасет от безумия вас».
Диагноз
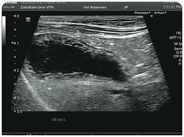
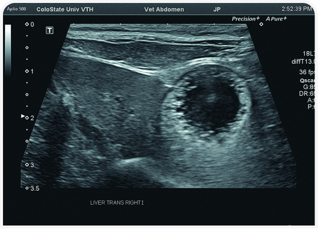
Решающее значение для диагностики и лечения в этом случае будет иметь ультразвуковое исследование органов брюшной полости (Рисунок 6). Диагностику триадита у кошек облегчают визуализация поджелудочной железы и определение толщины/архитектоники стенки кишечника; изменения в паренхиме печени по-прежнему остаются неспецифичными, но изменения в желчном пузыре, скорее всего, помогут установить диагноз. При нейтрофильном холангите у кошки результаты визуализации желчных путей могут оказаться нормальными, но во многих случаях стенка желчного пузыря будет утолщенной и неровной, даже зубчатой (Рисунок 7) (22). Возможны осадок (Рисунок 8) или наличие камней в желчном пузыре, поэтому желчевыводящие пути важно просмотреть до двенадцатиперстной кишки, чтобы исключить внепеченочную окклюзию желчных протоков. Во многих случаях общий желчный проток оказывается перекрыт. Возможен асцит, и в этом случае оправдано проведение аспирации и анализа состава жидкости.
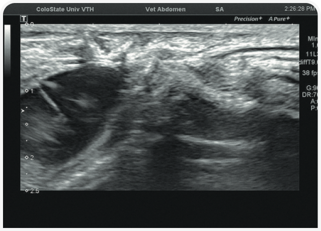
Аспирация содержимого желчного пузыря (чрескожный холецистоцентез под контролем ультразвукового исследования) для цитологического и культурального исследования чаще всего позволяет поставить диагноз и подобрать лечение (Рисунок 9) (23). Если желчный пузырь при визуализации выглядит патологически (например, толщина стенки >1 мм, контур стенки неровный или зубчатый или выраженное гиперэхогенное содержимое (осадок; Рисунок 10), результаты цитологического исследования и бактериального посева, скорее всего, также будут отклоняться от нормы (22,24). Обратите внимание, что при аспирации существует риск разрыва стенки желчного пузыря и/или утечки содержимого с развитием желчного перитонита, но под контролем опытного специалиста УЗИ и при спокойном поведении/седации пациента проблемы возникают редко. Тем не менее если стенка желчного пузыря выглядит эмфизематозной, риск значительно возрастает и вместо аспирации следует рассмотреть возможность хирургического удаления или пробное лечение.
Аспирированная желчь может выглядеть совершенно нормальной или напоминать гнойный экссудат. При цитологическом исследовании обычно преобладают нейтрофилы в различных функциональных состояниях (т. е. в процессе нормальной дегенерации), иногда с внутриклеточными скоплениями бактерий (25). Неудивительно, что наиболее часто при посеве выявляют E. coli, реже – обширный список энтеральных и анаэробных микроорганизмов родов Enterococcus, Streptococcus, Klebsiella, Actinomyces, Clostridium, Bacteroides, Pseudomonas, Staphylococcus, Pasteurella, а также Salmonella enterica серотип Typhimurium.
Опять-таки тонкоигольная аспирационная биопсия печени минимально инвазивна, но ее диагностическая значимость часто оказывается низкой. В Университете штата Колорадо биопсию печени для гистопатологического исследования кошкам проводят редко, хотя в ряде таких случаев выполняют лапароскопию и во время этого вмешательства получают биоптаты ткани печени и поджелудочной железы и аспирируют содержимое желчного пузыря под прямым визуальным контролем. Хотя гистопатологическое исследование помогает установить окончательный диагноз и выявить сопутствующие заболевания, для диагностики и подбора терапии обычно достаточно холецистоцентеза.
Лечение
Состояние кошек при этом заболевании обычно достаточно тяжелое, поэтому целесообразна госпитализация с поддерживающей (введение жидкости, обезболивание, питание и т.д.) и внутривенной медикаментозной (антибиотики, антиэметики и т.д.) терапией.
Антибиотики в идеальном случае подбирают по результатам бактериального посева материала, полученного при холецистоцентезе, с определением чувствительности, а в ожидании результатов посева ориентируются на результаты цитологического исследования с окрашиванием по Граму. Если эти диагностические методы недоступны, следует выбирать антибиотик(и), активные в отношении E. coli, с достаточно широким спектром действия на обычные кишечные возбудители, в том числе анаэробные (например, клавимокс, метронидазол, прадофлоксацин и т.д.). Лечение рекомендуется проводить от 4-6 недель до 3-6 месяцев, оценивая эффективность по разрешению клинических проявлений и нормализации уровня ферментов печени.
Острый нейтрофильный холангит может переходить в хроническое течение либо осложняться лимфоцитарным холангитом, при котором инфекция вызывает не только воспаление, но и стойкий иммуноопосредованный ответ.
Поэтому в таких случаях в какой-то момент после курса антибиотиков может потребоваться лечение преднизолоном.
Следует также рассмотреть возможность применения витамина K1 и урсодезоксихолевой кислоты (как описано в случае 1), гепатопротекторов, таких как S-аденозилметионин, и кобаламина. Как и в случае 1, крайне важно понимать потенциальную значимость сопутствующих заболеваний.
Заключение
Нейтрофильный холангит (как острая, так и хроническая форма) – наиболее распространенное воспалительное заболевание печени у кошек как в США, так и во всем мире, тогда как лимфоцитарный холангит чаще развивается у кошек за пределами США и особенно распространен среди норвежских лесных и персидских кошек. В обоих случаях часто встречаются сопутствующие заболевания, которые обычно и становятся причиной смерти кошки. Следует помнить, что при диагностике любых заболеваний у кошек, будь то диабетический кетоацидоз, липидоз печени или холангит, диагностическая «бритва Оккама» (т. е. идея о том, что если у пациента присутствуют несколько клинических признаков, следует искать диагноз, который учитывает все эти проявления, а не предполагать разные диагнозы, которые могут быть причиной каждого симптома) может не работать. Кошки полностью поддерживают авторитетное мнение доктора Хикама: «У пациента может быть столько болезней, сколько ему угодно».
Литература
- Center SA. Diseases of the gallbladder and biliary tree. In: Strombeck’s Small Animal Gastroenterology, 3rd ed. Guilford, Center, Strombeck, et al (eds). Philadelphia, WB Saunders Co 1996;37;860-888.
- Hirsch VM, Doige CE. Suppurative cholangitis in cats. J Am Vet Med Assoc 1983;182:1223-1226.
- Prasse KW, Mahaffey EA, DeNovo R, et al. Chronic lymphocytic cholangitis in three cats. Vet Pathol 1982;19:99-108.
- Twedt D, Gilberton S. Icteric cats: A survey of 47 necropsied cats. Anim Med Ctr Lab Newsletter 1977;48.
- Weiss DJ, Gagne JM, Armstrong PJ. Relationship between inflammatory hepatic disease and inflammatory bowel disease, pancreatitis, and nephritis in cats. J Am Vet Med Assoc 1996;209:1114-1116.
- Day DG. Feline cholangiohepatitis complex. Vet Clin North Am Small Anim Pract 1995;25:375-385.
- Newell SM, Selcer BA, Girard E, et al. Correlations between ultrasonographic findings and specific hepatic diseases in cats: 72 cases (1985-1997). J Am Vet Med Assoc 1998;213:94-98.
- Day MJ. Immunohistochemical characterization of the lesions of feline progressive lymphocytic cholangitis/cholangiohepatitis. J Comp Pathol 1998;119:135-147.
- Gagne JM, Armstrong PJ, Weiss DJ, et al. Clinical features of inflammatory liver disease in cats: 41 cases (1983-1993). J Am Vet Med Assoc 1999;214:513-516.
- Kordick DL, Brown TT, Shin K, et al. Clinical and pathologic evaluation of chronic Bartonella henselae or Bartonella clarridgeiae infection in cats. J Clin Microbiol 199;37:1536-1547.
- Boomkens SY, Kusters JG, Hoffmann G, et al. Detection of Helicobacter pylori in bile of cats. FEMS Immunol Med Microbiol 2004;42:307-311.
- Greiter-Wilke A, Scanziani E, Soldati S, et al. Association of Helicobacter with cholangiohepatitis in cats. J Vet Intern Med 2006;20:822-827.
- Lapointe JM, Higgins R, Barrette N, et al. Enterococcus hirae enteropathy with ascending cholangitis and pancreatitis in a kitten. Vet Pathol 2000;37:282-284.
- Rothuizen J, Bunch SE, Charles JA, et al. (eds.) WSAVA Standards for Clinical and Histological Diagnosis of Canine and Feline Liver Disease. WSAVA standardization group. Philadelphia PA: Saunders Elsevier; 2006.
- Carreira VS, Viera RF, Machado GF, et al. Feline cholangitis/cholangiohepatitis complex secondary to Platynosmum fastosum infection in a cat. Rev Bras Parasitol Vet 2008;17 Suppl 1:184-187.
- Gagne JM, Weiss DJ, Armstrong PJ. Histopathologic evaluation of feline inflammatory liver disease. Vet Pathol 1996;33:521-526.
- Bayton WA, Westgarth C, Scase T, et al. Histopathological frequency of feline hepatobiliary disease in the UK. J Small Anim Pract 2018;59:404-410.
- Otte CM, Valtolina C, Vreman S, et al. Immunohistochemical evaluation of the activation of hepatic progenitor cells and their niche in feline lymphocytic cholangitis. J Feline Med Surg 2018;20:30-37.
- Otte CMA, Gutiérrez PO, Favier RP, et al. Detection of bacterial DNA I bile of cats with lymphocytic cholangitis. Vet Microbiol 2012;156:217-221.
- Callahan CJE, Haddad JL, Brown DC, et al. Feline cholangitis: a necropsy study of 44 cats (1986-2008). J Feline Med Surg 2011;13:570-576.
- Floreani A, Mangini C. Primary biliary cholangitis: Old and novel therapy. Eur J Int Med 2018;47:1-5.
- Brain PH, Barrs VR, Martin P, et al. Feline cholecystitis and acute neutrophilic cholangitis: clinical findings, bacterial isolates and response to treatment in six cases. J Feline Med Surg 2006;8:91-103.
- Byfield VL, Clark JEC, Turek BJ, et al. Percutaneous cholecystocentesis in cats with suspected hepatobiliary disease. J Feline Med Surg 2017;19:1254-1260.
- Peters LM, Glanemann B, Garden OA, et al. Cytological findings of 140 bile samples from dogs and cats and associated clinical pathological data. J Vet Intern Med 2016;30:123-131.
- Smith RP, Gookin JL, Smolski W, et al. Association between gallbladder ultrasound findings and bacterial culture of bile in 70 cats and 202 dogs. J Vet Intern Med 2017;31:1451-1458.
Boland L, Beatty J. Feline cholangitis. Vet Clin North Am Small Anim Pract 2017;47:703-724.