Пододерматит кошек

13 сентября 2022 г.
Кол-во просмотров 4
Время чтения 12 мин

Заключение

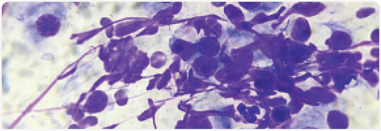
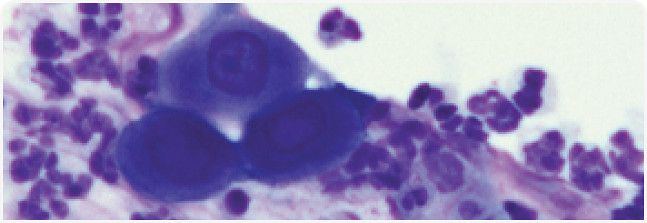
Во всех случаях поражения подушечек лап у кошки необходимы полное дерматологическое обследование и физикальный осмотр. Если поражения ограничиваются только лапами, основной дифференциальный диагноз — плазматический пододерматит и легочно-пальцевой синдром, в меньшей степени эозинофильная гранулема, иногда поражающая только лапы; заболевания можно предварительно дифференцировать по внешнему виду, с подкреплением результатами тонкоигольной аспирационной биопсии. Листовидная пузырчатка также редко ограничивается поражением только подушечек лап и обычно поражает всю лапу и сопровождается тяжелой паронихией. При эозинофильной гранулеме, реакции на укусы комаров и листовидной пузырчатке чаще поражаются другие участки тела, но при листовидной пузырчатке поражение обычно двусторонне симметричное с пустулами и корками, в отличие от спорадического распространения при эозинофильной гранулеме или локализации на участках морды с небольшим количеством шерсти про реакции на укусы комаров. Наконец, системные проявления чаще встречаются при листовидной пузырчатке. Окончательный диагноз устанавливают гистопатологически, и, хотя в терапию обычно включают иммуномодуляцию, для каждого заболевания она индивидуальна, как и прогноз.

Литература

  1. Scott DW, Miller WH, Erb HN. Feline dermatology at Cornell University: 1407 cases (1988-2003). J Feline Med Surg 2012;15(4):307- 316.
  2. Cain CL, Mauldin EA. Diagnostically Challenging Dermatoses of Cats. In: Little SE (ed.) August's Consultations in Feline Internal Medicine Vol. 7. 1st ed. St Louis, MO; WB Saunders 2016;295-306.
  3. Banovic F. Immune-Mediated Diseases. In: Noli C, Colombo S (eds.) Feline Dermatology. 1st ed. Switzerland AG, Springer Nature 2020;511-530.
  4. Guaguere E, Prelaud P, Degorce-Rubiales F, et al. Feline plasma cell pododermatitis: a retrospective study of 26 cases. Vet Dermatol 2004;15:27.
  5. Scarampella F, Ordeix L. Doxycycline therapy in 10 cases of feline plasma cell pododermatitis: clinical, haematological and serological evaluations. Vet Dermatol 2004;15:27.
  6. Bettenay SV, Mueller RS, Dow K, et al. Prospective study of the treatment of feline plasmacytic pododermatitis with doxycycline. Vet Rec 2003;152:564-566.
  7. Bettenay SV, Lappin MR, Mueller RS. An immunohistochemical and polymerase chain reaction evaluation of feline plasmacytic pododermatitis. Vet Pathol 2007;44:80-83.
  8. Pereira PD, Faustino AMR. Feline plasma cell pododermatitis: a study of 8 cases. Vet Dermatol 2003;14:333-337.
  9. Buckley L, Nuttall T. Feline eosinophilic granuloma complexities: some clinical clarification. J Feline Med Surg 2012;14:471-481.
  10. Bloom PB. Canine and feline eosinophilic skin diseases. Vet Clin North Am Small Anim Pract 2006;36:141-160.
  11. Miller WH, Griffin CE, Campbell KL. Miscellaneous skin diseases. In: Muller and Kirk's Small Animal Dermatology. 7th ed. Philadelphia, WB Saunders, 2013;695-723.
  12. Pressanti C, Cadiergues MC. Feline familial pedal eosinophilic dermatosis in two littermates. J Feline Med Surg 2015;1(1):2055116915579683.
  13. Jordan TJM, Affolter VK, Outerbridge CA, et al. Clinicopathological findings and clinical outcomes in 49 cases of feline pemphigus foliaceus examined in Northern California, USA (1987-2017). Vet Dermatol 2019;30:209-219.
  14. Bizikova P, Burrows A. Feline pemphigus foliaceus: original case series and a comprehensive literature review. BMC Vet Res 2019;22:1-15.
  15. Preziosi DE. Feline pemphigus folliaceus. Vet Clin Small Anim 2019;49:95-104.
  16. Olivry T. A review of autoimmune skin diseases in domestic animals: 1 – superficial pemphigus. Vet Dermatol 2006;17:291-305.
  17. Bizikova P. Autoimmune Diseases. In: Noli C, Colombo S (eds.) Feline Dermatology. 1st ed. Switzerland AG, Springer Nature 2020;495-509.
  18. Klinger CJ, Mueller RS. Pemphigus foliaceus in feline patients. Vet Focus 2018;28.1:15-19.
  19. Mason K. Mosquito-byte Hypersensitivity. In: Noli C, Colombo S (eds.) Feline Dermatology. 1st ed. Switzerland AG Springer Nature, 2020;489-494.
  20. Goldfinch N, Argyle D. Feline lung-digit syndrome: unusual metastatic patterns of primary lung tumors in cats. J Feline Med Surg 2012;14:202-208.
  21. Sugiyama H, Maruo T, Shida T, et al. Clinical findings in lung-digit syndrome in five cats. J Jpn Vet Cancer Soc 2010;1(1):8-13.
  22. Thrift E, Greenwell C, Turner AL, et al. Metastatic pulmonary carcinomas in cats (“feline lung-digit syndrome”): further variations on a theme. J Feline Med Surg open rep 2017;1-8.
  23. van der Limde-Sipman JS, van den Ingh TS. Primary and metastatic carcinomas in the digits of cats. Vet Q 2010;3:141-145.
  24. Wobeser BK, Kidney BA, Powers BE, et al. Diagnoses and clinical outcomes associated with surgically amputated feline digits submitted to multiple veterinary diagnostic laboratories. Vet Pathol 2007;44:362-365.
Представленные материалы отражают позицию автора на момент публикации. Пожалуйста, учитывайте возможные изменения в научных данных. ВетАкадемия не несет ответственность за информацию о дозировках и методах применения. Достоверность этих сведений должна проверяться индивидуально по соответствующим источникам.
Понравился материал?
Зарегистрируйтесь и получите возможность сохранять статьи, скачивать дополнительные материалы, проходить тесты и квизы, а также получать баллы за изучение материалов
Зарегистрироваться