Разнообразные методы визуализации, появившиеся в ветеринарии мелких животных в последние годы, открывают исключительные возможности для диагностики многих заболеваний печени и поджелудочной железы. В этой статье кратко рассматривается анатомия обоих органов и обсуждаются плюсы и минусы каждого метода.
Введение
Печень
Печень – крупнейший орган брюшной полости, занимающий основную часть ее краниального отдела. Печень расположена между диафрагмой и желудком и подразделяется на несколько долей: правые боковую и медиальную доли, левые боковую и медиальную доли, квадратную долю и хвостатую долю, имеющую сосочковый и хвостатый отростки. В печени имеются две венозные системы: портальная и системная. Печень тесно связана с желчным пузырем, расположенным между правой медиальной и квадратной долями, рядом с хвостатым отростком печени находится правая почка.
Рентгенография
Рентгенография позволяет оценить размеры и контуры печени, но не изменения паренхимы (кроме скопления газов или минерализации). Для исследования нужно получить изображения брюшной полости на выдохе в двух ортогональных проекциях (боковой и вентродорсальной). Чтобы полностью визуализировать печень, важно включить в рентгенограмму брюшной полости краниальный край диафрагмы.
Силуэт печени невозможно отличить от диафрагмы, а каудально он ограничен желудком. Каудовентральный край нормальной печени острый (Рисунок 1). Оценивать размеры печени удобнее по желудочной оси; на боковой рентгенограмме печень должна быть видна между линией, проведенной под углом 90 градусов к позвоночнику, и линией, параллельной последней паре ребер. Если ось желудка смещена за пределы последней пары ребер или если каудальный край печени простирается до вентральной части желудка, это указывает на гепатомегалию. Если желудок смещен краниально, печень, по всей вероятности, маленькая, хотя такое явление в норме встречается у собак с глубокой грудной клеткой, таких как боксер, доберман, немецкий дог. При заболеваниях печени часто развивается асцит (скопление жидкости в брюшной полости), который в некоторых случаях может затруднять обследование печени. Однако асцит легко распознать на рентгенограммах брюшной полости по снижению четкости серозной оболочки, а в тяжелых случаях – по отвислому животу.
Объемные образования в печени могут деформировать контур печени и вызывать ряд изменений (вторичных патологических изменений вследствие сдавления или смещения окружающих тканей). Опухоль правых отделов печени смещает привратник каудомедиально, а центральных или левых отделов печени – искажает краниальный контур дна желудка.
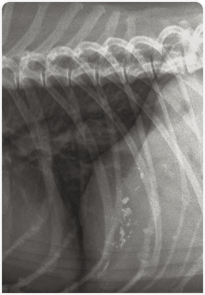
В норме желчный пузырь на рентгеновском снимке не виден. Однако иногда у кошек вентральная часть желчного пузыря может распространяться за пределы вентрального края контура печени на серповидную жировую подушку (falciform fat); ее следует дифференцировать с объемными образованиями. Желчнокаменная болезнь часто вызывает минерализацию ткани печени, а при поражении внутрипеченочных желчных протоков на рентгенограмме появляются ветвистые тени (Рисунок 2).
Ульразвуковое исследование
Ультразвуковое исследование – очень полезный метод визуализации, позволяющий провести полное обследование печени, так как является недорогим, неинвазивным и в большинстве случаев не требует седации пациента. Ультразвуковое исследование особенно рекомендуется в тех случаях, если при рентгенографии были выявлены гепатомегалия или асцит, но его эффективность может снижаться у крупных собак или при заметном растяжении желудка газами. Печень можно визуализировать целиком, поместив датчик чуть ниже мечевидного отростка и проводя сканирование слева направо в сагиттальной плоскости или краниокаудально в поперечной плоскости. Глубину сканирования следует установить достаточной, чтобы визуализировать печень целиком. Отличить диафрагму от паренхимы печени невозможно, но, как и при рентгенографии, можно отделить краниальную часть печени, визуализировав диафрагмальный край печени. Этот диафрагмальный край проявляется благодаря изогнутой линии артефактов реверберации, создаваемых воздухом внутри легких. При ультразвуковом исследовании печень нередко отображается зеркально в краниальном направлении на диафрагму; об этом артефакте следует знать и не путать его с диафрагмальной грыжей или объемным образованием в грудной полости.
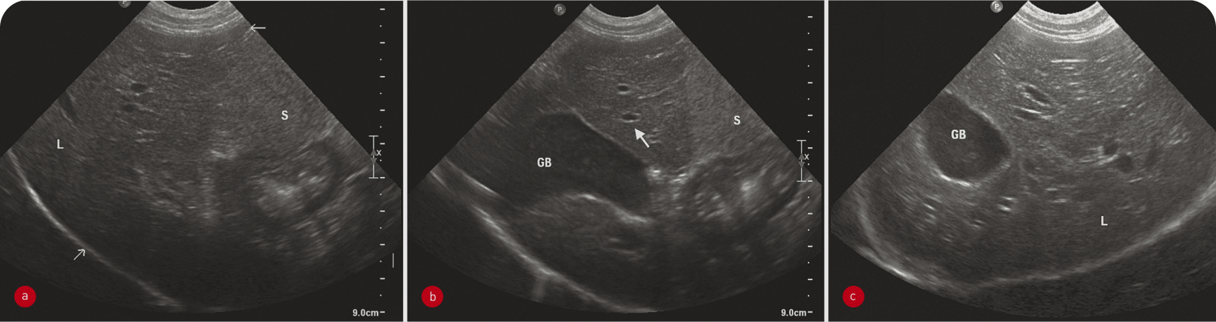
Паренхима печени однородная, слегка зернистой эхотекстуры, гипоэхогенна относительно серповидной жировой подушки и селезенки (Рисунок 3) и изо- или гипоэхогенна относительно правой почки (1). Контуры печени должны быть гладкими и ровными, очерченными тонкой гиперэхогенной капсулой. Разделение долей печени должно быть четким, если только в брюшной полости нет свободной жидкости. Печеночные вены легко визуализируются в паренхиме печени в виде трубчатых анэхогенных структур, а ветви воротной вены отличаются от системных вен гиперэхогенными стенками. Кроме того, по степени видимости портальных сосудов можно оценивать эхогенность ткани печени.
Как и на рентгенограмме, размер печени оценивают субъективно – по каудовентральному краю, который не должен выходить за пределы дна желудка. Правые доли проецируются более дорсально, часто лучше оценивать их в каудальном межреберном окне в 10-м или 11-м правом межреберье. В этом окне также удобно оценивать желчный пузырь, который обычно содержит анэхогенную жидкость и имеет очень тонкую гиперэхогенную стенку. У большинства собак среднего возраста в желчном пузыре выявляется подвижный эхо-материал. У кошек такое содержимое встречается довольно редко и требует дополнительного исследования функции желчевыводящих путей. Внутрипеченочные желчные протоки в норме не видны.
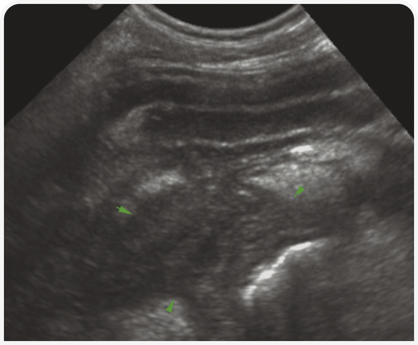
В основном при ультразвуковом исследовании можно выявить изменение размеров (чаще всего гепатомегалию) и эхогенности печени или наличие в ней узелка или объемного новообразования. Ультразвуковое исследование позволяет с высокой чувствительностью обнаруживать изменения паренхимы, но оно неспецифично, поэтому любые изменения следует интерпретировать с учетом клинических проявлений. Например, гиперэхогенную гепатомегалию на фоне желтухи у кошек можно с высокой вероятностью считать проявлением липидоза, а у собак с диабетом считать вариантом нормы. При этих двух заболеваниях паренхима печени также будет разрежена (Рисунок 4). Острый гепатит может характеризоваться гипоэхогенной гепатомегалией, а хронический – гетерогенностью тени и неровными краями печени.
Внешний вид объемных образований в печени может быть различным, но в целом они неоднородные и могут деформировать край печени. В печени можно идентифицировать пораженную область, но правильно определить пораженную долю может оказаться трудно. С другой стороны, ультразвуковое исследование позволяет четко определить печень при оценке происхождения крупного объемного образования в животе.
Важно не спутать с объемным образованием изменения в желчном пузыре, особенно при мукоцеле, когда желчный пузырь заполнен гетерогенным, организованным и неподвижным материалом.
Ультразвуковое исследование также позволяет с высокой чувствительностью обнаруживать в печени узелки, но неспецифично для определения их природы, причем многие печеночные узелки являются доброкачественными. Киста печени проявляется в ортогональных плоскостях в виде анэхогенной округлой структуры с акустической тенью. При необходимости можно провести ультразвуковое исследование с тонкоигольной аспирацией или биопсией.
Уменьшение печени может наблюдаться при хроническом гепатите и циррозе печени, и в этом случае при ультразвуковом обследовании край печени может быть неровным; также часто выявляют асцит. Однако у молодых пациентов небольшой размер печени может также наблюдаться при врожденном портосистемном шунте, особенно на фоне внепеченочного шунта. Внутрипеченочный шунт обычно легко визуализируется в виде патологически крупного изогнутого извилистого сосуда внутри паренхимы печени, соединяющего систему портального кровотока с печеночной частью каудальной полой вены.
При хронической окклюзии желчных протоков ультразвуковое исследование может выявлять слегка извилистые трубчатые анэхогенные внутрипеченочные желчные протоки; отличить протоки от кровеносных сосудов можно с помощью цветной допплерографии.
«
«Ультразвуковое исследование позволяет с высокой чувствительностью обнаруживать узелки в печени, но неспецифично для определения их природы; это важно, поскольку многие печеночные узелки могут быть доброкачественными».
Компьютерная томография
Для получения изображения методом КТ пациент должен находиться под общим наркозом, после чего ему внутривенно вводят йодированное контрастное вещество. Этот метод позволяет получить изображение печени целиком, особенно у крупных собак, у которых возможности ультразвукового исследования могут быть ограничены.
Собаку кладут на спину или на живот, а изображения, полученные в поперечной плоскости, переформатируют в другие плоскости.
В норме структура печени однородная, сигнал ослаблен в степени, типичной для мягких тканей. КТ особенно рекомендуется для оценки точного местоположения и возможной диссеминации образования в печени в случае, если планируется хирургическое вмешательство (Рисунок 5). Также очень полезно оценить аномалии строения сосудов, особенно портосистемные шунты (внутри- или внепеченочные); в этом случае требуется провести визуализацию после инъекций контрастного вещества в трех временных точках: во время артериальной, портальной и венозной фаз (2).
Магнитно-резонансная томография (МРТ)
МРТ печени в ветеринарной медицине применяют нечасто, и возможности ее применения все еще остаются ограниченными.
Однако этот метод обеспечивает отличное контрастное разрешение и может помочь в дифференциальном диагнозе между доброкачественными и злокачественными поражениями печени. Для исследования требуются общая анестезия, инъекция гадолиниевого контрастного вещества и высокопольная МРТ (по крайней мере на 1,5 Тесла), чтобы избежать появления артефактов движения, вызванных дыханием.
Поджелудочная железа
Поджелудочная железа – небольшой орган, который можно подразделить на три анатомических отдела; правая доля расположена вдоль брыжеечной границы двенадцатиперстной кишки, тело поджелудочной железы проходит по хвостовому краю желудка, а левая доля – вдоль нисходящего отдела ободочной кишки. Контуры органа, как правило, неровные.
Рентгенография
В норме поджелудочную железу на рентгеновском снимке идентифицировать невозможно, поскольку она слишком мала. Однако у некоторых кошек с избыточной массой тела и большим количеством внутрибрюшного жира левая доля поджелудочной железы визуализируется рядом со средней частью селезенки, прилегая к краниальному полюсу правой почки, и ее не следует ошибочно считать патологическим образованием. Рентгенография может быть полезна при подозрении на заболевание поджелудочной железы, поскольку панкреатит может сопровождаться косвенными изменениями, такими как снижение четкости серозной оболочки в краниальных отделах брюшной полости, увеличение пилородуоденального угла, расширение просвета двенадцатиперстной кишки газами вследствие индукции вторичной функциональной кишечной непроходимости. Кроме того, некоторые опухоли поджелудочной железы могут подвергаться минерализации, и при выявлении в краниальном отделе брюшной полости объемного образования с очагами минерализации можно заподозрить его происхождение из поджелудочной железы.
Ультразвуковое исследование
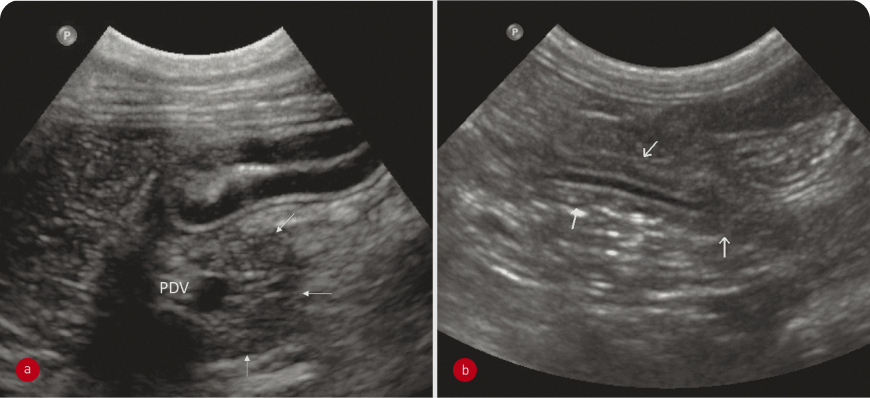
Ультразвуковое исследование позволяет визуализировать поджелудочную железу, хотя для оценки полученного изображения требуется определенный опыт. В норме поджелудочная железа дискретно гетерогенная, как правило, слегка гипоэхогенна по отношению к окружающей жировой ткани, ее границы определяются нечетко (3). У кошек она может быть изоэхогенна относительно окружающей жировой ткани, а у йоркширских терьеров – гиперэхогенна (4). При обследовании поджелудочной железы необходимо главным образом идентифицировать специфичные ориентиры. Для оценки правой доли важно визуализировать двенадцатиперстную кишку, от правой почки каудально до привратника краниально. У собаки панкреатодуоденальную вену выявить легко, она выглядит как извилистая трубчатая анехогенная структура, проходящая параллельно медиальной части двенадцатиперстной кишки (Рисунок 6a); ткань вокруг этого сосуда – это и есть поджелудочная железа. Этот сосуд удобнее визуализировать методом цветной допплерографии. У кошки в этом месте визуализируется проток поджелудочной железы и по нему можно локализовать ее правую долю. У кошек проток поджелудочной железы физиологически расширен (особенно у пожилых кошек – до 3 мм в диаметре); на уровне основного сосочка двенадцатиперстной кишки он присоединяется к общему желчному протоку. Тело поджелудочной железы расположено каудальнее привратника и вентральнее воротной вены, между желудком и поперечной ободочной кишкой.
Латерально от нисходящей ободочной кишки каудальнее дна желудка, медиальнее селезенки и краниальнее краниального полюса левой почки может визуализироваться левая доля поджелудочной железы. У кошек локализовать эту долю также можно по протоку поджелудочной железы (Рисунок 6b). У кошек можно измерить толщину поджелудочной железы, которая не должна превышать 1 см (5).
При остром панкреатите поджелудочная железа обычно гипоэхогенна, неоднородно утолщена и окружена гиперэхогенным и разреженным слоем жировой ткани. Также вблизи поджелудочной железы часто скапливается жидкость. Прилежащая стенка двенадцатиперстной кишки часто утолщенная и складчатая, ее слои нечеткие (Рисунок 7). Обследование поджелудочной железы часто затруднено из-за боли в животе, поэтому требуется обезболивание или седация. Могут образоваться сопутствующие абсцесс или киста, проявляющиеся округлой структурой, заполненной жидкостью от гипоэхогенной до анэхогенной плотности. Такие поражения можно дренировать под контролем УЗИ. Хронический панкреатит распознать сложнее; он характеризуется появлением в паренхиме поджелудочной железы гетерогенных участков и прилегающих к ней очагов гиперэхогенной жировой ткани.
Узловая гиперплазия обычно наблюдается у пожилых кошек и характеризуется гипоэхогенными четко отграниченными узелками диаметром менее 1 см (6). Опухоли поджелудочной железы обычно гипоэхогенные и слегка неоднородные, искажают контуры поджелудочной железы (Рисунок 8). Рак поджелудочной железы часто сопровождается канцероматозом, характеризующимся накоплением жидкости в брюшной полости и диссеминацией гипоэхогенных узелков внутри брыжейки и по брюшине.
Инсулиномы обычно проявляются мелкими гипоэхогенными узелками; визуализировать их иногда оказывается трудно. Часто раньше первичной опухоли обнаруживаются метастазы в печени или прилежащие лимфатические узлы.
Компьютерная томография
КТ позволяет полностью оценить вид поджелудочной железы, имеющей неровные края, с ослаблением сигнала от мягких тканей по описанным выше ориентирам. КТ может быть особенно полезна для выявления инсулином (так как визуализацию не затрудняют скопления газов в желудочно-кишечном тракте) и более чувствительна для выявления мелких поражений, хотя обычно для этого требуется двухфазная компьютерная томография. Инсулинома при визуализации проявляется как разреженный узелок, со значительным усилением сигнала в артериальной фазе, но не в других фазах исследования (7).
Заключение
Диагностическая визуализация крайне важна при обследовании печени и поджелудочной железы, но ветеринарный врач должен быть хорошо знаком с нормальной анатомией и внешним видом органов, получаемыми при выбранном методе визуализации. Необходимо также помнить об ограничениях этих методов; однако в большинстве случаев при правильном стандартизированном подходе удается достичь положительных результатов.
Литература
- Larson MM. Ultrasound imaging of the hepatobiliary system and pancreas. Vet Clin North Am Small Anim Pract 2016;46(3):453-80. Zwingenberger AL, Schwarz T, Saunders HM. Helical computed tomographic angiography of canine portosystemic shunts. Vet Radiol Ultrasound 2005;46(1):27-32.
- Hecht S, Henry G. Sonographic evaluation of the normal and abnormal pancreas.
- Clin Tech Small Anim Pract 2007;22(3):115-121.
- Granger LA, Hilferty M, Francis T, et al. Variability in the ultrasonographic appearance of the pancreas in healthy dogs compared to dogs with hyperadrenocorticism. Vet Radiol Ultrasound 2015;56(5):540-548.
- Etue SM, Penninck DG, Labato MA, et al. Ultrasonography of the normal feline pancreas and associated anatomic landmarks: a prospective study of 20 cats. Vet Radiol Ultrasound 2001;42(4):330-336.
- Larson MM, Panciera DL, Ward DL, et al. Age-related changes in the ultrasound appearance of the normal feline pancreas. Vet Radiol Ultrasound 2005;46(3):238-242.
- Mai W, Cáceres AV. Dual-phase computed tomographic angiography in three dogs with pancreatic insulinoma. Vet Radiol Ultrasound 2008;49(2):141-148.