Эмфизематозный цистит

21 сентября 2025 г.
Кол-во просмотров 33
Время чтения 7 мин
Прокофьева Наталия Игоревна
Ведущий ветеринарный врач-терапевт, нефролог, уролог сети клиник «Белый клык», г. Москва
Эмфизематозный цистит — воспаление мочевого пузыря, при котором в его стенках образуются пузырьки газа. Это происходит из-за того, что бактерии в моче ферментируют глюкозу или белковые субстанции, выделяя газ.
Чаще всего такая проблема возникает у животных с диабетом, так как у них в моче много сахара, что создает идеальные условия для бактерий. Также эмфизематозный цистит может развиться у животных с гиперадренокортицизмом и другими заболеваниями, приводящими к постоянной протеинурии. Реже этот вид цистита развивается у животных с атонией детрузора и спонтанно, без очевидного предрасполагающего заболевания.
Симптомы эмфизематозного цистита такие же, как и при любом другом воспалении стенки мочевого пузыря. У пациента может отмечаться гематурия, поллакиурия, странгурия и др. Может быть также бессимптомное течение заболевания. Рекомендуется проводить терапию инфекции мочевыделительной системы при выявлении эмфизематозного цистита, даже если клинических признаков нет.
Дифференциальные диагнозы для поллакиурии или странгурии с гематурией:
  • Бактериальный цистит.
  • Уролитиаз.
  • Новообразование стенки мочевого пузыря.
  • У кобелей — доброкачественная гиперплазия простаты, бактериальный цистит, рак простаты.
  • Цистит иной этиологии (грибковый, паразитарный, на фоне применения циклофосфамида).
Появление газа в просвете мочевого пузыря может быть также ятрогенным вследствие катетеризации уретры, цистотомии, цистоскопии и т.п.
При выявлении эмфизематозного цистита необходимо провести поиск предрасполагающего заболевания.
Столкнувшись с эмфизематозным циститом впервые некоторые, врачи подозревают у пациента анаэробную инфекцию. И отправляют посев мочи для культивирования анаэробной инфекции, а также назначают антибиотики, действующие против бактерий этого типа. Однако в этих действиях нет смысла.
В основном, эмфизематозный цистит у собак и кошек ассоциирован с самым распространенным уропатогеном Escherichia coli (аэробная флора). Реже мы обнаруживаем в посевах мочи другие бактерии.
В ходе обследования мы можем обнаружить локальное скопление газа в стенке мочевого пузыря. А также столкнуться с трудностями в визуализации мочевого пузыря из-за тотального присутствия газа в стенках мочевого пузыря и артефактов изображения. Присутствие газа также может быть выявлено в уретре, из редка может быть выявлен газ в почечных лоханках и в тканях простаты у кобелей.
Рисунок 1. Рентгеновский снимок брюшной полости и области уретры в боковой проекции пациента с эмфизематозным циститом.
Клинический случай
Интактный кобель 8 лет, вес 50 кг доставлен в клинику в связи с макрогематурией.
Осмотр не примечателен, пациент стабилен. Месяцем ранее проведена кастрации в связи с доброкачественной кистозной гиперплазией простаты. Выявлено присутствие газа в стенке мочевого пузыря и уретры. Исключен сахарный диабет, протеинурия ранее не выявлялась.
Не удалось получить образец мочи в ходе цистоцентеза ввиду плохой визуализации мочевого пузыря. Отбор проб мочи проведен в ходе катетеризации уретры с соблюдением всех правил асептики и антисептики.
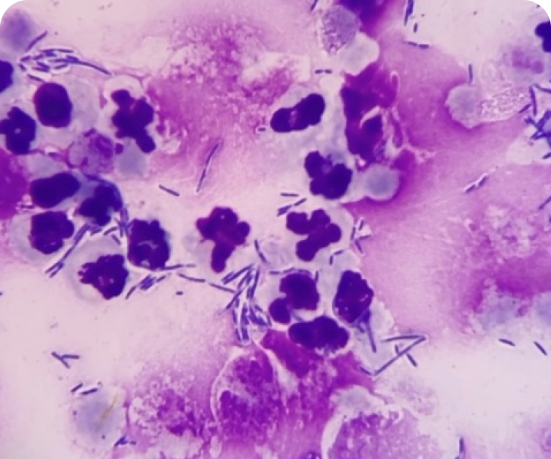
При микроскопии осадка мочи выявлена лейкоцитурия и палочкообразные бактерии. В посеве мочи рост бактерии E.coli 10×6 КОЕ/мл.
По результатам посева мочи назначен энрофлоксацин в дозе 7,5 мг/кг/сутки. Выбор антибиотика связан с тем, что необходимо проникновение препарата не только в мочевой пузырь, но и в простату. Минимальный курс лечения 3 недели и может быть продлен при необходимости.
Рисунок 2. Окрашенный осадок мочи, лейкодиф, х1000, лейкоциты и палочкообразные бактерии.

Выбор терапии при любой инфекции мочевыделительной системы и зависит от:
  • состояния пациента,
  • видовых и породных особенностей,
  • наличия сопутствующих заболеваний,
  • результатов клинического анализа мочи и посева мочи,
  • того, в какие отделы МВС должен проникнуть антибиотик (мочевой пузырь, паренхима почек, ткани простаты),
  • ответ на первичное лечение.
Терапия при эмфизематозном цистите проводится как при любой другой бактериальной инфекции мочевыделительной системы!
Представленные материалы отражают позицию автора на момент публикации. Пожалуйста, учитывайте возможные изменения в научных данных. ВетАкадемия не несет ответственность за информацию о дозировках и методах применения. Достоверность этих сведений должна проверяться индивидуально по соответствующим источникам.
Понравился материал?
Зарегистрируйтесь и получите возможность сохранять статьи, скачивать дополнительные материалы, проходить тесты и квизы, а также получать баллы за изучение материалов
Зарегистрироваться